Dr. Rachita Jaiswal

Phone Number: +91 8853369876


About Us
Contact Us
Career
Follow Us




Successful Story



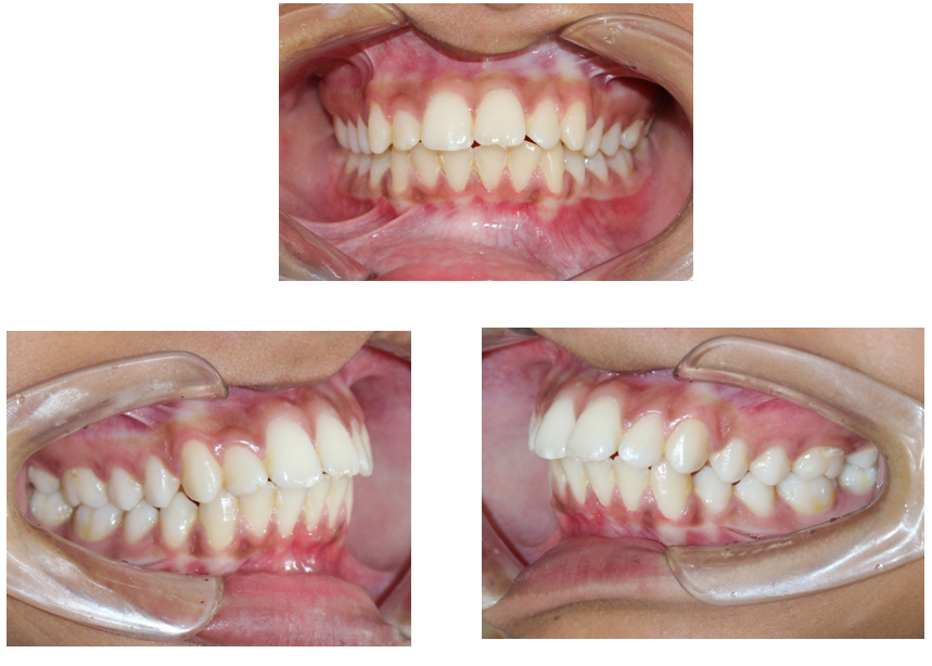
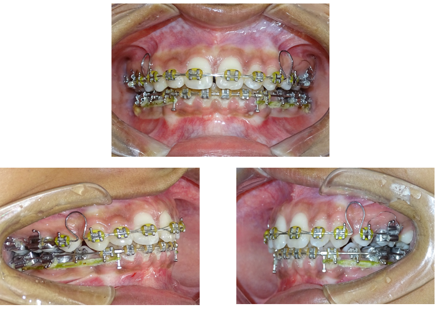
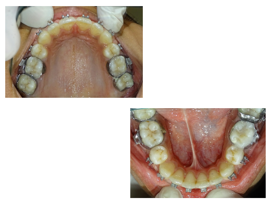
Case 1
Orthodentic Treatment


























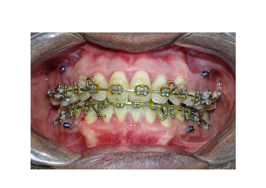
Case 2
Orthodentic Treatment